Esperti del tuo sorriso
Cura dentale professionale per un sorriso sano e naturale.
Cura per Voi
Cura personalizzata
Ogni sorriso è unico e i nostri trattamenti si adattano in base alle vostre esigenze specifiche.
Tecnologia avanzata
Utilizziamo attrezzature e tecniche contemporanee per offrire trattamenti precisi, efficaci e affidabili.
Un team che si prende cura di voi
Il nostro team unisce la professionalità alla cura umana, supportandovi in ogni fase del percorso.
150+
Sorrisi Trasformati
+9
Anni di Esperienza
I Nostri Servizi

Chirurgia Orale
La chirurgia orale tratta i denti, la mascella e i tessuti circostanti, ripristinando salute e funzionalità con metodi moderni e sicuri.

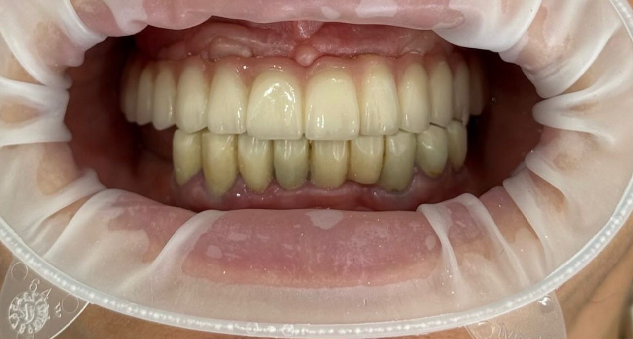
Estetica Dentale
L'estetica dentale migliora la forma, il colore e l'armonia dei denti per un sorriso naturale e bilanciato.

Veneers
Le faccette dentali migliorano la forma, il colore e l'armonia dei denti, offrendo risultati naturali e duraturi.

Ortodonzia
L'ortodonzia corregge la posizione dei denti, migliorando l'estetica e la funzionalità del sorriso.

Parodontologia
La parodontologia cura le gengive e i tessuti di supporto, proteggendo la salute e la stabilità dei denti.

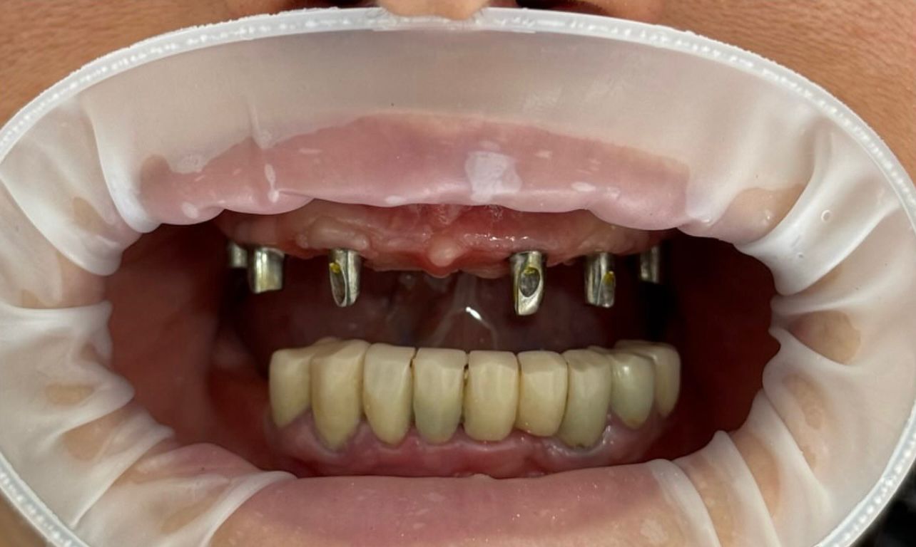
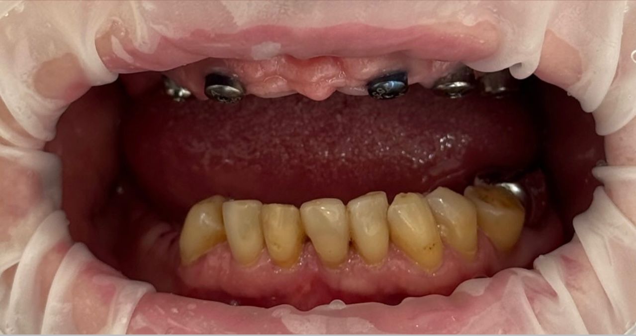
Implantologia
L'implantologia ripristina i denti mancanti, garantendo funzionalità ed estetica naturale con risultati duraturi nel tempo.
Vai ai servizi
Come Funziona

01
Consulenza & Pianificazione
Contattateci per una consulenza gratuita. Il vostro viaggio inizia da casa: vi aiuteremo online a condividere le vostre necessità e i vostri desideri per il trattamento dentale. Il nostro team vi ascolterà attentamente e vi offrirà una valutazione iniziale gratuita, senza alcun impegno. Dopo la consulenza, verrà preparato un piano dettagliato e personalizzato per voi, che include il trattamento e i costi, senza sorprese.
02
Arrivo & Cure Professionali
Nella nostra clinica, sarete assistiti da un team di professionisti specializzati, utilizzando tecnologie moderne e materiali certificati. Il trattamento viene eseguito con elevati standard igienici, garantendo comfort e risultati eccellenti, con un focus costante sulla vostra massima comodità.


03
Recupero & Scopri Tirana
Al termine del trattamento, effettueremo un controllo finale per assicurarci che tutto sia perfetto. Inoltre, vi supporteremo durante il recupero e vi forniremo le linee guida per la cura post-trattamento. Approfittate del vostro soggiorno per scoprire le bellezze di Tirana e godervi un'esperienza completa e senza stress.
Testimonianze

Elvira Beqaj vanta oltre 13 anni di esperienza in odontoiatria ed è nota per la dedizione e la passione verso la cura dei pazienti. Nella clinica familiare da lei fondata, unisce professionalità e valori umani, creando un ambiente dove l'esperienza e l'attenzione al paziente sono sempre la priorità.
“Un medico competente e premuroso, con una lunga esperienza nel settore dentale. Nota per la sua mano leggera e la dedizione verso ogni paziente.”

Ilda Memushaj
Paziente
Ambiente
Un ambiente che vi farà sentire come a casa. I nostri spazi moderni sono progettati per la vostra pace e comodità.
Sicurezza/Igiene
I più alti standard di igiene e sicurezza, per garantire un percorso sano verso la vostra trasformazione.
Efficienza e Precisione
Valorizziamo il vostro tempo tanto quanto la vostra salute dentale. Attraverso un sistema di prenotazione ben organizzato e procedure ottimizzate, garantiamo trattamenti rapidi e precisi, mantenendo sempre i più alti standard di qualità.

Prenota la tua consulenza gratuita adesso!































